重大进展|山东省脐血库高效培养出脐带血间充质干细胞
发布时间:2021-02-25来源:作者:
浏览:0 打印
字号:大中小
“慈母手中线,游子身上衣”,不论你走多远,牵挂的永远是那份母爱。从受精卵形成的那刻起,这种有形的或无形的“牵挂”就已经形成了。在胚胎时期,如果说脐带是连接起母与子丝线,那么脐带血便是生命的律动,输送着母爱那份源源不竭的爱的动力。
近日,来自山东省脐血库的研发人员使用自体脐带血营养成分高效率地培养出自体脐带血中含量极少的脐带血间充质干细胞,从微观下,用自体脐带血的生命“脐”迹,再一次证明了母爱的伟大。
生命伊始,脐带血已然成为生命的眷顾
脐带血(UCB)富含多种干细胞,不仅含有造血干细胞,还有其他非造血类干细胞,如脐带血间充质干细胞(UCB-MSCs)等(图1)。UCB-MSCs作为脐带血干细胞研究热点之一,在免疫调节和组织修复上有巨大作用,并且在类风湿性关节炎(临床Ia期)、脑瘫和皮肤再生等领域上有临床试验。

图1 脐带血中的造血干细胞和间充质干细胞
脐带血间充质干细胞获取为世界难题
UCB-MSCs有效充足获取是UCB-MSCs临床应用的重要基石。UCB-MSCs具有增殖周期较长、单位UCB样本含量较少等特点,因此,提取UCB-MSCs成功率极低,甚至早年间有学者质疑UCB中是否存在UCB-MSCs,随着干细胞培养技术提高,近年来众多研究学者一致认为UCB中可培养高质量UCB-MSCs,但高效率地培养出充足的UCB-MSCs仍为公认的世界难题。
脐带血间充质干细胞的培养体系
血清是常规UCB-MSCs培养体系添加物之一,基础科学研究中动物源血清常常被使用,如胎牛血清。但临床中不宜使用胎牛血清,毕竟它是异源血清,输入到人体后可能会引起严重的免疫排斥反应,且胎牛血清中可能携带病原微生物,如支原体、噬菌体、引起疯牛病的脘病毒等,会给人身安全带来重大隐患。
自体脐带血营养成分 高效培养自体脐带血间充质干细胞
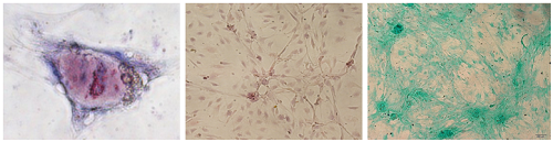
近日,山东省脐血库的研发人员使用了胎儿自己的脐带血成分用于提取、滋养胎儿自己的UCB-MSC,并进行了后续成脂、成骨和成软骨诱导实验(图3-4)。

图3自体脐带血间充质干细胞显微镜照片
(使用自体脐带血成分提取、培养)
图4 自体脐带血间充质干细胞成脂、成骨和成软骨实验显微镜照片
(使用自体脐带血成分提取、培养)
在此基础上山东省脐血库科研人员不断优化自体UCB营养成分提取技术,使用自体UCB营养成分高效地培养出自体UCB-MSCs,并完成了UCB-MSCs的成骨、成软骨和成脂实验(间充质细胞的标准鉴定方法),为攻克困扰细胞治疗界的难题贡献了一份科研力量。
使用的自体脐带血提取出的营养物培养自己的细胞,更易让人接受,也真正建立了一种安全、稳定以及高质量培养脐带血间充质干细胞的培养体系,也使得脐带血这份宝贵的人类资源得到了充分利用!
“母爱的伟大”从我们一出生就注定了,在剪断脐带的那刻起,汩汩涌出的脐带血,再到科研人员不断攻坚克难,挖掘脐带血中的营养成分,成功高效地培养了脐带血间充质干细胞,完成世界难题。到底脐带血还有多少生命奇迹可以见证,让我们敬请期待!
