三胞生物医疗 | “拆弹”专家2小时精准切除8cm巨型脑肿瘤
发布时间:2021-07-30来源:作者:
浏览:0 打印
字号:大中小
说起肿瘤
大家常常谈之色变
如果脑部长了8cm肿瘤
你会作何选择?
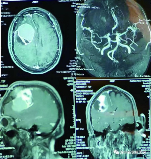
近日,徐州新健康医院神经外科梁元博士团队成功为一名患者切除8cm、拳头大小的罕见巨大脑肿瘤。术后患者各项指标正常,目前已康复出院。
72岁的许大娘一周前突然头痛难耐,在当地医院经颅脑CT检查,提示为右侧占位性病变。当地医院对许大娘予以治疗后,症状并未改善,严重影响了她的生活质量,脾气性格也变得急躁。苦恼的许大娘慕名来到徐州新健康医院,找到神经外科梁元博士求助。
梁元博士接诊后,对许大娘进行了细致的检查,右侧额部可触及皮下肿块,肿块比较硬,大小约为6cm×8cm。同时,许大娘的脑部肿瘤导致大脑电生理功能的异常,引起大脑局部皮层异常放电,右侧面部出现抽搐,右眼睑不自主跳动,舌头也向右偏。诊断为颅内占位性病变,必须立即实施手术治疗。
“由于肿瘤体积巨大,并且已经破坏颅骨、运动功能区,手术切除是首选,但难度和风险极高。”医院神经外科梁元博士表示。切除如此巨大的脑部肿瘤,本身就是一台难度极大、风险极高的手术。如果处理不当,很可能造成术后多种并发症,如脑脊液循环受阻、梗阻性脑积水、颅内感染等;且肿瘤长期压迫静脉,造成静脉壁薄,有出血的风险。
对于脑内这个巨型“定时炸弹”,梁元博士与许大娘及其家属充分沟通,制定详实的手术治疗方案。
在积极术前准备后,手术如期开始。梁元博士对患者行脑血肿清除术,患者随时出现的种种风险无不考验着医疗团队。术中,可见颅骨破坏面积约3cm×5cm、骨窗扩大约8cm×10cm、及硬膜下发蓝的肿瘤。这个区域的肿瘤手术极易导致偏瘫,复杂的情况增大了手术难度系数,骑跨的静脉让手术难上加难。梁元博士打开硬脑膜,用瘤内吸引器吸除脑瘤,逐渐打薄肿瘤,但后面的肿瘤极硬韧,术中耐心细致的分离中央前回与肿瘤间隙,保护中央沟静脉及皮层回流静脉,最终完整切除肿瘤,梁元博士团队凭借丰富的经验及成熟的手术技能,成功解决术中遇到的种种难题,经过两小时精细手术,将脑肿瘤及部分水肿失活组织全部切除。
术前术后对比
术后3小时,许大娘意识已逐渐清醒,“太神奇了,感觉自己又活过来了,真的很感谢徐州新健康医院神经外科的专家们。”许大娘给神经外科团队竖起大拇指。
梁元博士提醒,任何疾病都要本着早发现早治疗的原则,尤其是脑肿瘤,拖延等待不仅会延误最佳的治疗时机,也会给手术带来更大的风险和难度。脑肿瘤起病比较隐秘,通常患者出现了各种症状后到医院检查大脑,才发现肿瘤已经长的很大。如果有条件,可以每年做下大脑的体检,能够及时发现脑部疾病。当出现头痛、头晕、恶心、呕吐、智力低下、发育异常、肢体麻木、癫痫发作、走路不稳、视听障碍等情况时,需及时就诊,重点要排查脑部疾患。
神经外科介绍
神经外科现有床位50张(其中神经重症病床10张,配备冰毯、颅温颅内压监护,呼吸机等先进的医疗设备),神经外科团队医疗技术雄厚。
科室团队开展颅脑损伤及高血压脑出血的显微手术;神经内镜下单鼻孔经鼻碟入路垂体瘤切除术、脑室血肿清除术、微血管减压术;DSA下血管造影术、介入治疗各类出血性脑血管疾病、缺血性脑血管疾病(颈动脉及椎动脉狭窄),颈动脉溶栓、拉栓取栓术治疗急性缺血性脑卒中获良好的临床疗效;显微外科治疗烟雾病、颈动脉内膜剥脱术,颅内外血管搭桥术,均获得良好疗效;脊髓损伤的救治,脊髓肿瘤切除术,脊髓空洞症,颈腰椎退行病变(间盘病、狭窄);帕金森病、顽固性癫痫的DBS治疗;微血管减压术治疗颅神经病变(三叉神经痛、面肌痉挛、舌咽神经痛、头晕)。均获良好临床疗效。
科室配备ZESS手术显微镜、蛇牌神经内镜、蛇牌电凝电刀、DORO头架、DORO脑牵开器、美敦力气动钻、DSA等先进设备。
